2018.05.19 10:35:43
1年来反复睡眠打鼾,张口呼吸,无憋醒史,无咽痒,无疼痛,无吞咽...
了解详情![]() |
![]() |
![]() |
||
| 体格检查图片1 | 体格检查图片2 | 体格检查图片3 |

| 使用前 |
使用后 |
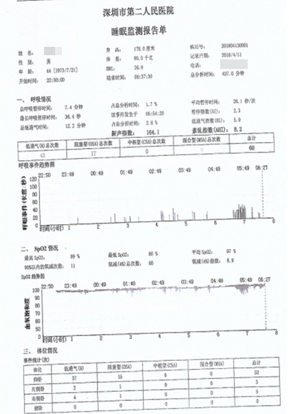
| AHI值 8.2次/小时 |
AHI值 4.7次/小时 |
| 平均血氧饱和度 97% |
平均血氧饱和度 97% |
| 最低血氧饱和度 86% |
最低血氧饱和度 91% |
| 最长呼吸暂停时间 36.4秒 |
最长呼吸暂停时间 24.8秒 |
总结:使用下颌前移器治疗1个月后,AHI:4.7次/分,鼾声消失,晨起口干改善,白天嗜睡减轻,改善夜间睡眠缺氧后精神状态明显好转,予2018-4-16结案。

睡眠监测报告2
相关方案1年来反复睡眠打鼾,张口呼吸,无憋醒史,无咽痒,无疼痛,无吞咽...
了解详情10年来反复睡眠打鼾,张口呼吸,偶咽有异物感、咽痒,无疼痛,无...
了解详情